Epidermal sample under microscope
The chromplasts of these cells are clearly visible.

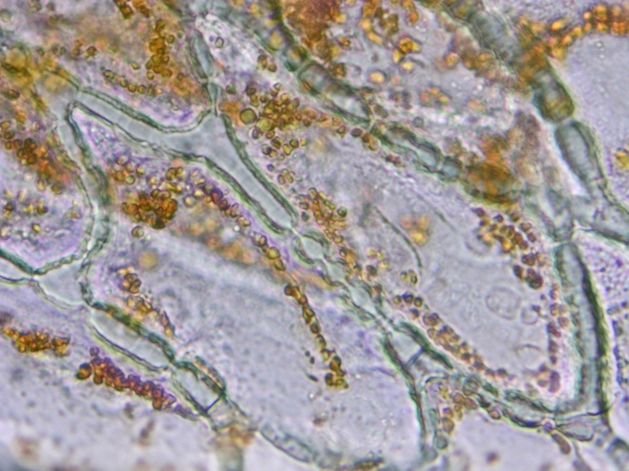
Observation Notes

This cross section was prepared using a RapidTome at 10Ξm thickness. Red-orange chromoplasts are clearly visible along the edges of the plant cell. This is because the central vacuole takes up most of the space inside a plant cell, creating the void visible in the center. Plasmodesmata are clearly visible as indentations in the cell walls.

Key Structures

  • Chromoplast — A plastid which contains non-photosynthetic pigments. These chromoplasts contain carotene pigments, which give tomatoes, peppers, and other fruits their red or orange color. Chromoplasts begin as chloroplasts, then transition as fruit ripens to attract herbivores.
  • Plasmodesmata — Channels formed through the cell walls of adjacent plant cells. They are lined with the plasma membrane of both adjacent cells, and connect the cytoplasm. They are vital for intercellular communication.
  • Central Vacuole — A large membrane-bound organelle which primarily stores water. They are important not just for the water itself, but also for maintaining the turgor pressure which holds the plant upright.